Latest update April 23rd, 2026 12:35 AM
Feb 26, 2017 KNews Letters Comments Off on West Indian cricket selection is not based on a fair approach
Dear Editor, The news that Dave Cameron and Emanuel Nathan have been unopposed for President and Vice President of the West Indies Cricket Board (WICB) raised eyebrows in several quarters because the...Feb 26, 2017 KNews Letters Comments Off on Procurement procedures at City Hall need investigating
Dear Editor, When one looks at the spontaneous and passionate response by civil society to the parking imbroglio it shows clearly that all of Guyana wants to see transparency, accountability and more...Feb 26, 2017 KNews News Comments Off on DENTAL HEALTH…FILLINGS: DO YOU NEED THEM?
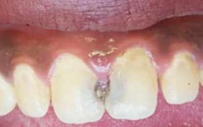
By Dr. Neromini Fagu Over the last few weeks we have spoken about fillings and some of the options available. This week I would like to discuss indications for a filling and the factors that will...Feb 26, 2017 KNews Cartoons, Features / Columnists Comments Off on Sunday Cartoon
Feb 26, 2017 KNews News Comments Off on West Berbice celebrates Mash with Hopetown as the hub
Residents turned out in large numbers on Thursday to join in the revelry celebrating the 47th anniversary of the Cooperative Republic of Guyana. There were pre-dawn showers. During the morning there...Feb 26, 2017 KNews Features / Columnists, The Baccoo Speaks Comments Off on The Baccoo speaks
Cell phones continue to be a magnet for criminals, but these days stealing a phone is not a good idea. A man would steal a phone during a snatch on the streets and would be surprised when the police...Feb 26, 2017 KNews Features / Columnists, My Column Comments Off on When our differences spark antagonism
People always welcome a new lease on life. I remember meeting Odinga Lumumba in hospital a few years ago after he had been involved in a horrific accident. His driver crashed the vehicle and I am...Feb 26, 2017 KNews News Comments Off on Money laundering and our guarded banks
By Kiana Wilburg Confidentiality clauses—That’s the term I was constantly running into when I engaged several banking officials on the notion of publishing what they’re really doing to prevent...Feb 26, 2017 KNews APNU Column, Features / Columnists Comments Off on Solid Waste and the Green Agenda
Solid waste management is an essential component of Guyana’s green agenda. Every Guyanese can play a part in reducing the amount of waste that goes into our landfills every single day by reusing...Feb 26, 2017 KNews Features / Columnists, Freddie Kissoon Comments Off on Sometimes the past returns with Draculean vengeance
When the Democrats had a majority in the Senate in Obama’s first term, to prevent the Republicans from delaying the confirmation of Obama’s Cabinet selections, the Democrats changed the rule of...Feb 26, 2017 KNews Letters Comments Off on The Guyanese people need to speak out more on poor services
Dear Editor, If I were to say that I am fed up with the “supposed” services provided by our service providers in Guyana, it would be an understatement. I’m sure I am not the first to be...Feb 26, 2017 KNews News Comments Off on The Story within the Story…State boards’ officials, executives cannot be above the law
By Leonard Gildarie The country is venturing into uncharted waters. Several former executives of state entities are before the court on fraud charges, so too is a former minister. In the coming days,...Feb 26, 2017 KNews AFC Column, Features / Columnists Comments Off on MY TURN: THE CRIES IN THE CITY
By Prime Minister Moses V. Nagamootoo For weeks now we have been hearing the cries of our citizens protesting the implementation of metered parking in Georgetown. From any vantage point, the fees for...Feb 26, 2017 KNews News Comments Off on Safety Plan For Immigrant Families in Light of Massive Expansion of Detention and Deportation in U.S.
ImmigrationINFO …Immigration News For Our Community Ò By Attorney Gail Seeram “Effective immediately,” DHS (Department of Homeland Security) shall faithfully execute U.S. immigration laws...Feb 26, 2017 KNews Dr Zulfikar Bux, Features / Columnists Comments Off on Ear Wax Blockage: An awful condition with an easy fix
By Dr Zulfikar Bux Assistant Professor of Emergency Medicine I am a bit surprised by the increasing amount of patients that are presenting with ear wax blockage. It can usually be a very painful...Feb 26, 2017 KNews News Comments Off on President attends Maha Shivaraatri prayers at Cove and John Ashram
President David Granger has commended the Guyana Sevashram Sangha for its work in providing spiritual strength and education enlightenment to Guyanese. He was on Friday speaking at the Cove and John...Feb 26, 2017 KNews Features / Columnists, Interesting Creatures in Guyana Comments Off on The Rhea Pennata
The Rhea Pennata or Darwin’s rhea, also known as the lesser rhea, is a large flightless bird, but the smaller of the two extant species of rheas. It is found in the Altiplano and Patagonia in South...Feb 26, 2017 KNews Features / Columnists, Murder and Mystery Comments Off on Where in heavens is Multi Fernandes?
By Michael Jordan Where in heavens is Multi Fernandes? It’s been some 15 years since the canecutter allegedly fled from a street on the East Bank ofDemerara, leaving a mortally wounded woman at the...Feb 26, 2017 KNews Book Review…, Features / Columnists Comments Off on Book Review… Capturing the dynamics of migration and social development
Book: Dimensions of African and other Diasporas Editors: Franklin W. Knight and Ruth Iyob Reviewer: Dr Glenville Ashby ‘Dimensions of African and other Diasporas’ is an existentialist view of...Feb 26, 2017 KNews Features / Columnists, Peeping Tom 1
A great many of those who were “wining down” and “backballing” on Republic Day do not realize the influence of their actions. They do not view the vulgar displays of last Thursday as being...Feb 26, 2017 KNews News Comments Off on Global Fund donates ATVs to Health Ministry
Guyana’s fight to eradicate tuberculosis (TB), HIV/AIDS and malaria got the proverbial ‘shot in the arm’ on Friday last with a donation of three All Terrain Vehicles (ATVs) from Global Fund....Feb 26, 2017 KNews News Comments Off on Volunteerism – can we truly embrace it?
By Sharmain Grainger In some countries volunteerism is a way of life. As the word suggests, it entails the act of volunteering one’s time and effort towards activities, mainly for the upliftment of...Feb 26, 2017 KNews Countryman, Features / Columnists Comments Off on The Marcus Garvey Queenstown Essequibo connection
By Dennis Nichols Aback of the village of Queenstown on the Essequibo Coast lies a bushy tract of land with a history linked to one of the most renowned and controversial of Caribbean personalities...Feb 26, 2017 KNews Features / Columnists, Ronald Sanders Comments Off on The Future of Financial Services in the Caribbean: International Tax Competition, Globalization and Fiscal Sovereignty (Part 2)
(A presentation by Sir Ronald Sanders on Friday 17 February 2017 at a Conference organised by Goethals Consulting Corp. in Panama on “Widening the Pathways to Open Societies”) (Continued from...Your children are starving, and you giving away their food to an already fat pussycat.
Apr 23, 2026
…Ezekiel Millington to contest 100m finals today Kaieteur Sports – Guyana’s Ebo McNeil delivered a strong performance on the track in Panama, claiming bronze in the boys’ 1500m final at the...Apr 23, 2026
(Kaieteur News) – There is something fundamentally incongruent about a country standing atop one of the most promising oil frontiers of the 21st century while simultaneously deepening its reliance on external debt. Guyana today embodies that contradiction. It is hailed as the world’s...Apr 19, 2026
By Sir Ronald Sanders (Kaieteur News) –As with all my commentaries, this one is strictly in my personal capacity, drawing on more than fifty years of engagement with Caribbean affairs and a lifelong commitment to the cause of regional integration. I do not speak on behalf of any government or...Apr 23, 2026
Hard Truths by GHK Lall (Kaieteur News) – It is obvious that there are two sets of folks who want Messrs. Azruddin Mohamed and Nazar “Shell” Mohamed out of Guyana. Persons of interest in the first set take the form of the Government of Guyana, specifically the hostile PPP leadership...Freedom of speech is our core value at Kaieteur News. If the letter/e-mail you sent was not published, and you believe that its contents were not libellous, let us know, please contact us by phone or email.
Feel free to send us your comments and/or criticisms.
Contact: 624-6456; 225-8452; 225-8458; 225-8463; 225-8465; 225-8473 or 225-8491.
Or by Email: glennlall2000@gmail.com / kaieteurnews@yahoo.com